Especialidades
Patología Quirúrgica
Nuestro equipo médico cuenta con experiencia probada en el análisis macroscópico y microscópico de (biopsias y resecciones) de cualquier origen. Entregamos información completa y consiente de una gama muy extensa de patologías, así como los diagnósticos y pronósticos a médicos y pacientes.
Patología Ginecológica
Realizamos el estudio anatomopatológico en las enfermedades que afectan el sistema reproductor de la mujer y los órganos sexuales femeninos desde vulva, vagina, cérvix, útero, trompas de Falopio y ovarios con análisis macro y microscópicos muy consientes haciendo énfasis en correlaciones clínicas y patológicas.
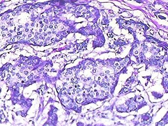
Patología Gastrointestinal
Nuestro staff de patólogos estudia y analiza biopsias para detectar condiciones médicas asociadas a enfermedades inflamatorias, tumores benignos y malignos del tracto gastro intestinal. Incluimos en todos nuestros diagnósticos el proceso técnico y evidencia que prueba la presencia de Helicobacter Pylori.
Patología Dermatológica
Concentramos nuestros esfuerzos y experiencia en analizar biopsias de la piel, uñas, y membranas mucosas para el estudio de las causas o patogénesis de las enfermedades a nivel celular.
Citopatología De Tamizaje y Base Líquida
En las pruebas realizadas en nuestro laboratorio se detectan lesiones cervicales precancerosas ayudando con prontitud en la expedición del resultado a prevenir el cáncer cervical.
Como parte de nuestro camino en la innovación, todos nuestros diagnósticos cuentan con Patrones Celulares Hormonales y Patrones Celulares no hormonales representados en gráficas de fácil lectura haciendo muy amigable la interpretación de los mismos.
Procesamos muestras no ginecológicas como fluidos, orinas y bronco-alveolares así como aspiraciones con aguja fina (BAAF) de cualquier origen (mama, tiroides, páncreas, médula y otros).
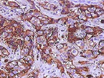
Patología de Mama
Analizamos cualquier tipo de muestra de mama, incluyendo especímenes extraídos de patología quirúrgica, las biopsias y aspiraciones de aguja fina.
El laboratorio de inmuno-histoquímica proporciona el análisis de expresión de Receptores hormonales, Her2 neu, índice de proliferación y otros marcadores.
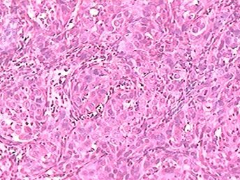
Patología Génito Urinaria
Nuestros médicos patólogos estudian todas las áreas genitourinarias incluidas las enfermedades de la próstata, vejiga, uretra, entre otros así como la patología neoplásica y no neoplásica de los riñones.
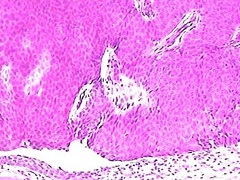
Patología Cabeza y Cuello
En nuestro laboratorio estudiamos lesiones mucosas y células mesenquimales del tracto aéreo digestivo superior (cavidad oral, nasal, senos paranasales, orofaríngeos y nasofaríngeos, glándulas salivales, lesiones en ojos, la órbita y otros sitios).
Inmunohistoquímica
Realizamos tinciones para múltiples marcadores que cubren varios propósitos, incluidos la identificación y clasificación de los neoplasmas. Para ello, se procede determinando el perfil receptor de las células cancerígenas y otras anormalidades de la señalización de dichas células que representan objetivos para la terapia.
Patología Molecular
Realizamos pruebas en Fitopatología del aparato reproductor femenino y masculino, así como de algunos especímenes de Patología Ginecológica.
Las pruebas moleculares de última generación son cada vez más importantes para el pronóstico y las predicciones del posible comportamiento de la enfermedad, lo que permite determinar cuál es el mejor enfoque y respuestas terapéuticas.
Bacteriología
Con protocolos de investigación completos estudiamos las diversas infecciones bacterianas revisando morfología, genética y bioquímica de las bacterias así como su clasificación y caracterización de especies bacterianas en muestras que provienen de tractos genitales femeninos y masculinos, lesiones de piel, escamas, orinas y secreciones.
ETS
Realizamos perfiles de detección por PCR (Reacción en Cadena de la Polimerasa) de muestras para evidenciar la presencia de Chlamydia, Micoplasma y Urea plasma en todas sus familias.
